
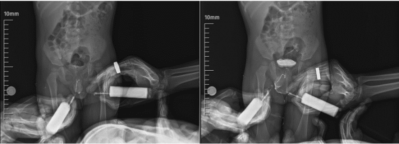
Diphallus, which is also known as diphallia, is a very rare congenital anomaly encountered nearly one in 5.5 million population. Since the first case was presented by Wecker in 1609, only 120 cases have been reported in the literature so far. Vast majority of cases with diphallus were accompanied by various congenital anomalies mainly genitourinary and anorectal malformations. Diphallus can be classified as glandular diphallus, bifid diphallus, and complete diphallia according to the anatomical structure involved.